Case of the week

Make sure you read the instructions in the description of the form carefully!
Respond ASAP! The sooner you reply the higher you score!
Accepting responses till 23:59 Hr next thursday

*On popular demand Case of the week will now be going live every Friday at 6pm ( after work hours!)

Please note: Exciting prizes to be won by the cumulative top scorer (make sure you are registered for the conference to qualify!)

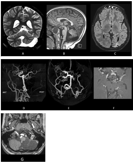
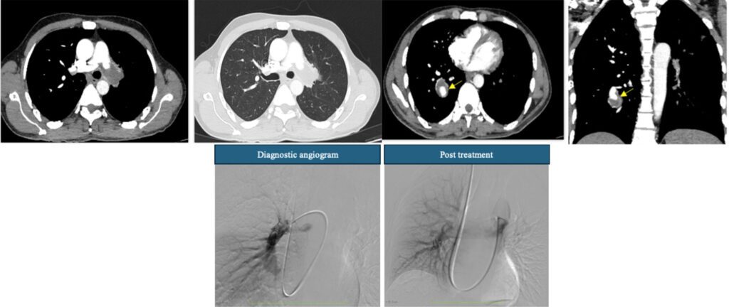
Case of the week Answer Key

TN&PY IRIA 2025

Join us as we discourse diverse topics that will hone your skills as a radiologist as well as identify the key factors in achieving a healthy “work-life balance”

Contact us

Division of Clinical Radiology,
CMC Vellore
&
Vellore Subchapter of TN&PY IRIA
Phone number: +91 7903165512
Email: tnpyiria2025@gmail.com

TN & PY IRIA 2025©

Designed by: Hold the stick productions, Vellore

Scroll to Top