Dual Theme – Clinical Radiology & Work Life Balance

(Imaging precision with clinical reasoning)

78th ANNUAL CONFERENCE OF
TN & PY IRIA 

Organised by Vellore Subchapter of TN & PY IRIA

“Due to the high demand, additional slots for workshops have been added”
Thesis and research publication – 5 slots
Advanced neuro-imaging in brain tumours – 5
USG guided procedures – 10

18th December 2025 (afternoon) – Exciting workshops
19 – 20th December 2025 – Conference

Case of the Week Quiz is live now

Important Update!!
          
Online ORAL PAPER PRESENTATION sessions will be held in batches, over five days, from 8 th to 12 th December, between 4:30 – 8:30 p.m.

          
FINAL DATE OF POSTER SUBMISSION-DECEMBER 13

Our Trade Partners
(In alphabetic order)

Welcome to
TN & PY IRIA 2025

Dear Friends & Colleagues,
 
Greetings from the organizing committee of the 78th annual conference of TNPY IRIA scheduled to be held at the “Fort city” – Vellore.
 
It is with immense pleasure that we at the Vellore Subchapter of IRIA invite you to this unique “dual-themed” annual conference.
 
We will be curating a well-rounded program designed to meet the diverse learning needs of general radiologists, sub-specialists, and radiology residents alike. Additionally, our program will encompass discussions on the escalating professional pressures in radiology and the importance of adopting effective measures to ensure a “work-life balance”.
 
Renowned experts and leaders in the field will be joining us as speakers, offering invaluable insights and sharing their expertise to ensure participants receive the highest quality academic exposure.
 
With the field of diagnostic and interventional radiology advancing at a remarkable pace, we extend a warm invitation to radiology consultants and students from all over to engage in this dynamic academic gathering.
 
The Annual TNPY IRIA State Conference 2025 will have it all, with academics, sports, culturals, socializing, and a taste of Vellore!
 
We look forward to welcoming you & your family!
Come, Learn & Enjoy!
 
With best wishes,
Organizing Committee

Registration details

EARLY BIRD

TILL 2 nd October

Past Presidents & Emeritus Members
FREE

Faculty
₹5000.00

IRIA Radiologists
₹6000.00

Non-IRIA Radiologists
₹7000.00

Resident IRIA Members
₹4500.00

Resident Non- IRIA Members
₹5500.00

Accompanying Persons
₹5000.00

Trade Delegates
₹7000.00

Additional charges: GST + payment gateway charges

3rd Oct – 15th Nov 2025

Past Presidents & Emeritus Members
FREE

Faculty
₹6000.00

IRIA Radiologists
₹7000.00

Non-IRIA Radiologists
₹8000.00

Resident IRIA Members
₹5500.00

Resident Non- IRIA Members
₹6500.00

Accompanying Persons
₹6000.00

Trade Delegates
₹8000.00

Additional charges: GST + payment gateway charges

16th Nov – 15th Dec 2025

Past Presidents & Emeritus Members
FREE

Faculty
₹7000.00

IRIA Radiologists
₹8000.00

Non-IRIA Radiologists
₹9000.00

Resident IRIA Members
₹6500.00

Resident Non- IRIA Members
₹7500.00

Accompanying Persons
₹7000.00

Trade Delegates
₹9000.00

Additional charges: GST + payment gateway charges

Spot from 16th Dec 2025

Past Presidents & Emeritus Members
₹5000.00

Faculty
₹8000.00

IRIA Radiologists
₹9000.00

Non-IRIA Radiologists
₹10000.00

Resident IRIA Members
₹7500.00

Resident Non- IRIA Members
₹8500.00

Accompanying Persons
₹8000.00

Trade Delegates
₹10000.00

Additional charges: GST + payment gateway charges

TN&PY IRIA 2025

Join us as we discourse diverse topics that will hone your skills as a radiologist as well as identify the key factors in achieving a healthy “work-life balance”

Workshops

Learn hands on with experts

USG guided procedures – (hands-on biopsy / drainage on phantoms)

Coordinators:

Dr Franklin El. Irwin 
Dr Jagadeesh Kumar Chitakala
Dr Joseph Chacko Paul
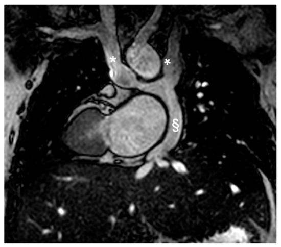
Congenital heart disease – CT/MRI – workstation-based

Coordinators:

Dr Leena R V
Arthritis: A clinico-imaging case-based multi-modality approach

Coordinators

Dr. Vineeth Joseph Abraham 
Dr. Benjamin Barsouma Mathew 
Dr. Joseph KT 
Advanced neuro-imaging in brain tumors

Coordinators

Dr Harshad Vanjare
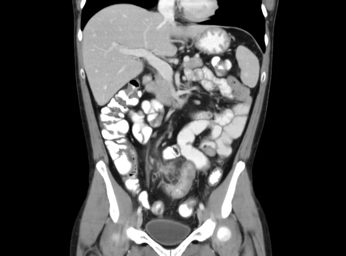
Abdominal imaging – workstation-based – case-based review of bowel obstruction

Coordinators

Dr Anuradha Chandramohan
Thesis and research to publication: Choosing a research topic, conducting the research, choosing the journal, writing the draft, and publishing your research

Coordinators

Dr Shyamkumar N K

Contact us

Division of Clinical Radiology,
CMC Vellore
&
Vellore Subchapter of TN&PY IRIA
Phone number: +91 7903165512
Email: tnpyiria2025@gmail.com

TN & PY IRIA 2025©

Designed by: Hold the stick productions, Vellore

Scroll to Top